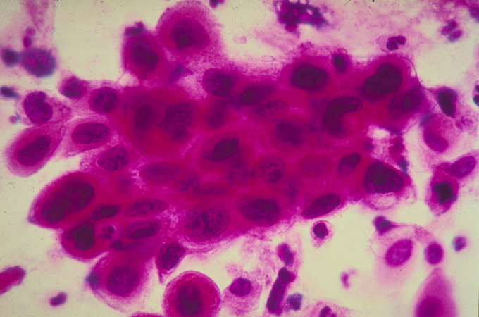
OPINIONOPINION, Waiting to die: Cervical cancer in AmericaGeography largely determines whether US women will suffer from cervical cancer – and whether they will die from it.quotes